Tennis Elbow Relief in Port Moody: Why it Persists (Ultrasound Case Study)
Are you struggling with persistent elbow pain that does not seem to go away with rest? At Harmonia Clinic in Port Moody, we see many patients whose "Tennis Elbow" (Lateral Epicondylitis) has progressed into a chronic stage.
Today, we will explain why structural changes might be the hidden cause of your discomfort using MSK Ultrasound images.
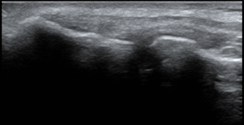
1. Understanding Structural Changes: Normal vs. Irregular Using MSK Ultrasound, we can visualize the state of your tendons and bones in real-time.


Normal Elbow (Left): The bone contour is smooth, and the tendon is attached firmly with a uniform texture.
Irregular Elbow (Right - Patient Case): Chronic inflammation can lead to bone surface irregularities or "bone spurs." As seen in the image, the bone line is no longer smooth, which can cause constant irritation to the surrounding tissues.
Notice: All patient identifiers have been removed from these images for privacy. They are used for educational and informational purposes only.
Notice: This imaging does not replace an official diagnostic report and is used solely for procedural guidance.
2. Why Does Bone Irregularity Happen? When a tendon is repeatedly strained, the body may attempt to reinforce the attachment site by building extra bone tissue. These structural irregularities become a physical source of pain that simple rest cannot fix. This is why a precise visualization of the area is crucial.
3. Comprehensive Care at Harmonia Clinic With 15 years of clinical experience, we provide a focused approach to your recovery:
Acupuncture and Management: Targeted acupuncture and electro-acupuncture help improve circulation and manage inflammation around the affected area.
Holistic Pain Management: We address the entire kinetic chain from the shoulder to the wrist, reducing the mechanical stress placed on your elbow joint.
Located near Burquitlam Station and serving the Port Moody, Coquitlam, and Burnaby communities, we are dedicated to helping you move without pain.
For how we approach elbow and upper-limb issues within broader musculoskeletal care, visit our musculoskeletal services page.
How Harmonia Clinic can help
Explore related services that match the type of pain or condition discussed in this article.
Sports Injury & Joint Care
Comprehensive ultrasound-guided care for shoulder and elbow injuries.