Knee Swelling (Water on the Knee): Why It Keeps Coming Back (Assessment in Port Moody)
"My knee is swollen and stiff." "I had the fluid drained, but it's puffy again after a few days."
If you’re experiencing persistent knee swelling (joint effusion), it’s important to understand that the fluid is a warning signal from your body. At Harmonia Clinic in Port Moody, we focus on finding the source of that signal rather than just treating the surface symptoms.
1. Visualizing the Root Cause Knee swelling can be caused by various issues, from simple inflammation to meniscus tears or osteoarthritis. We use MSK Ultrasound to get a clear, real-time look inside your knee joint.

Notice: This imaging does not replace an official diagnostic report and is used solely for procedural guidance.
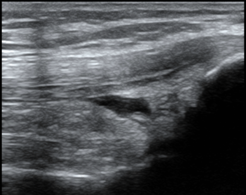
Ultrasound Image Analysis (2nd Photo): The dark areas in the scan indicate where the fluid has accumulated. This allows us to assess the volume and exact location of the effusion objectively.
2. Evidence-Based Education: Understanding Your Body We believe a well-informed patient recovers faster. Our consultations prioritize clear communication.


Notice: This imaging does not replace an official diagnostic report and is used solely for procedural guidance.
Detailed Consultations (1st & 3rd Photos): We compare your ultrasound scans with anatomical diagrams to explain exactly why you are feeling pain. When you can visualize the "why" and "how," you can participate more effectively in your recovery process.
3. 15 Years of Clinical Expertise in Knee Health Simply draining the fluid often doesn't address the underlying stress on the joint. Our approach focuses on long-term stability:
Reducing Inflammation: Targeted acupuncture helps improve circulation and reduces intra-articular pressure, encouraging the natural reabsorption of fluid.
Strengthening the Joint: With 15 years of experience, we focus on balancing the muscles and ligaments around the knee to prevent future swelling and improve overall function.
Serving the Port Moody and Coquitlam areas, Harmonia Clinic is dedicated to providing professional, transparent, and effective care for your knee health.
For knee and lower-limb issues in the context of full musculoskeletal care, see our musculoskeletal services page.
How Harmonia Clinic can help
Explore related services that match the type of pain or condition discussed in this article.
Sports & Musculoskeletal Care
Ultrasound-guided care for joint pain, swelling, and soft-tissue injuries.